Siamo tutti abituati a pensare che la postura dipenda principalmente da come ci muoviamo, da come ci sediamo o da come camminiamo. Eppure, c'è un fattore che può influenzare enormemente l'equilibrio del nostro corpo e che spesso non viene preso in considerazione: i denti. In particolare, la loro posizione e il loro allineamento, che definiscono il...
Blog
Molti di noi pensano di fare la scelta giusta bevendo tisane alla frutta, kombucha o acqua aromatizzata. Sono bevande considerate "sane" o benefiche per l'organismo. Ma quando si tratta di denti, la realtà è più complessa. Il vero problema non è sempre lo zucchero, ma l'acidità, che può erodere lo smalto in modo silenzioso e progressivo.
Quando pensiamo alla salute dei denti, la nostra attenzione corre subito a carie, gengiviti, tartaro o alito cattivo. Tutti problemi reali, certo, ma quasi sempre sotto c'è un protagonista invisibile e molto più complesso: il biofilm orale. Questo termine scientifico indica una comunità organizzata di batteri che colonizza stabilmente la bocca,...
Quando mastichiamo, il nostro cervello non si limita a concentrarsi solo sul gusto del cibo. Una parte del processo che molte persone ignorano riguarda il suono della masticazione. Sì, il rumore che i nostri denti fanno quando rompono il cibo può avere un impatto maggiore di quanto pensiamo sulla percezione del sapore e sulla nostra esperienza...
Quante volte al giorno sorridi? Più di quanto pensi!
Sorridere è uno degli atti più semplici e spontanei che facciamo ogni giorno, ma lo sapevi che oggi un sorriso può essere diventato una vera e propria icona? Basta scorrere Instagram, TikTok o YouTube per vedere influencer, attori e persone comuni sfoggiare denti bianchissimi e perfettamente allineati, come se fossero usciti da un set fotografico.
Halloween è il momento perfetto per affrontare le paure e i "mostri" che si nascondono sotto il letto, ma quando si tratta di salute orale, molte persone sono convinte che ci siano creature oscure pronte a rovinare il loro sorriso. Eppure, molte delle paure più comuni legate all'odontoiatria sono proprio dei miti da sfatare!
La Injection Molding Technique odontoiatrica si riferisce a un metodo innovativo di applicazione di resina composita fluida attraverso una mascherina personalizzata (spesso trasparente).
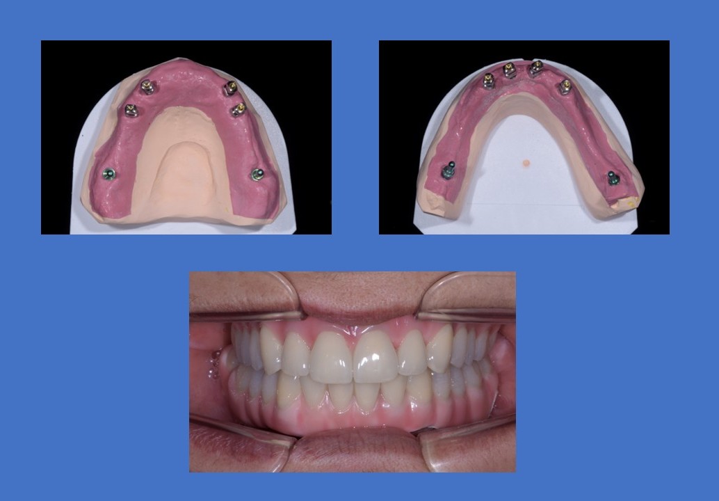
La riabilitazione implantare delle arcate è una procedura odontoiatrica che mira a ripristinare la funzione e l'estetica di un'intera arcata dentale mancante o gravemente compromessa attraverso l'uso di impianti dentali. Questa tecnica è particolarmente utile in casi di edentulia totale o parziale, offrendo una soluzione fissa e duratura simile ai...
Sognare un sorriso armonioso senza dover indossare i classici apparecchi metallici non è più un miraggio. Oggi esiste una soluzione moderna, discreta e confortevole: Angel Aligner, l'allineatore trasparente che unisce tecnologia digitale e cura personalizzata.










