Carie Interdentali: Il Nemico Invisibile che si Nasconde "Tra i Due Fuochi"

Esiste un tipo di carie che gioca a nascondino. Non la vedi allo specchio, non la senti con la lingua e, spesso, nemmeno il tuo dentista riesce a scovarla con un semplice esame visivo. Si chiama carie interdentale (o interprossimale) ed è la regina del sabotaggio dentale.
L'Identikit del Colpevole:
A differenza della carie che attacca la superficie masticante (quella che usiamo per tritare il cibo), la carie interdentale colpisce lo spazio stretto tra un dente e l'altro.
Perché è così pericolosa?
• È furtiva: Lo smalto in quel punto è leggermente più sottile.• È un "pacchetto doppio": Spesso, quando si forma tra due denti, finisce per intaccarli entrambi contemporaneamente.
• È asintomatica: Quando inizi a sentire dolore, di solito il danno è già arrivato vicino alla polpa.
Perché si forma? (Spoiler: Non è solo colpa dello zucchero)
Il vero motivo per cui queste carie prosperano è meccanico. Lo spazzolino, per quanto tecnologico o costoso sia, riesce a pulire solo il 60% della superficie dentale. Il restante 40% è rappresentato proprio dalle pareti a contatto tra i denti.
Se non usiamo il filo interdentale o lo scovolino, lasciamo un "buffet aperto" h24 per i batteri, che banchettano indisturbati producendo acidi che scavano il dente dall'interno.
Come accorgersi del "Nemico" prima che sia tardi?
Dato che è invisibile, dobbiamo prestare attenzione ai segnali indiretti:
1. Il filo che si sfilaccia: Se passando il filo interdentale senti che "gratta" o si rompe sempre nello stesso punto, potrebbe esserci un piccolo cratere o un bordo tagliente causato dalla carie.2. Sensibilità al freddo o ai dolci: Un fastidio improvviso localizzato tra due denti è un campanello d'allarme classico.
3. Alito cattivo persistente: I residui di cibo intrappolati nella cavità cariosa fermentano, causando cattivo odore difficile da eliminare.
Il consiglio dell'esperto: L'unico modo per essere sicuri al 100% della presenza di una carie interdentale nelle fasi iniziali è la radiografia. È rapida, indolore e rivela ciò che l'occhio umano non può vedere.
Strategia di Difesa:
• Rendi lo scovolino il tuo migliore amico: Se i tuoi spazi interdentali lo permettono, lo scovolino è più efficace del filo nel rimuovere la placca meccanicamente.• Controlli periodici: Non aspettare il dolore. Una pulizia professionale ogni 6 mesi permette al dentista di monitorare i punti critici.
La carie interdentale non è una condanna, ma richiede una strategia diversa dalla solita spazzolata veloce. Trattare i tuoi denti come "individui separati" e pulire lo spazio che li divide è il segreto per un sorriso che non riserva brutte sorprese.
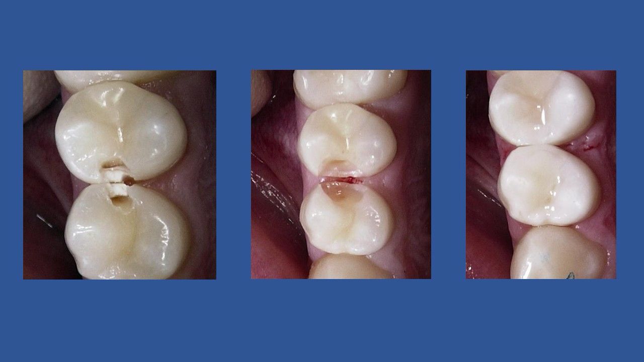
Nella foto, carie interdentale tra due premolari, curate dal Dott. Bisci.
